kidneys

Upper Tract Urothelial Cancer (UTUC)

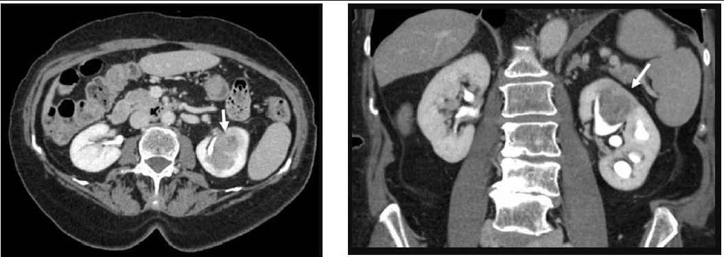
Upper Tract Urothelial Cancer refers to malignancies that originate in the lining of the upper urinary tract, encompassing the renal pelvis and the ureter. Primarily composed of transitional epithelial cells, these cancers are akin to those found in the bladder and collectively fall under the category of urothelial carcinoma. UTUCs are relatively rare but share a similar etiology with bladder cancer, often associated with risk factors such as smoking, exposure to certain chemicals, and chronic kidney conditions. The presentation of UTUC can include symptoms such as hematuria (blood in urine), flank pain, and occasionally, a palpable mass. Diagnosing UTUC typically involves imaging studies like CT urography and ureteroscopy, followed by biopsy confirmation.

The management of Upper Tract Urothelial Cancer involves a comprehensive approach, considering factors such as tumor stage, grade, and the patient's overall health. Treatment options may include radical nephroureterectomy, where the affected kidney and ureter are surgically removed. For patients with low-grade tumors or those ineligible for surgery, kidney-sparing approaches such as endoscopic resection or laser ablation may be considered. Additionally, adjuvant therapies such as chemotherapy may be recommended to target residual cancer cells and reduce the risk of recurrence. UTUC presents a unique set of challenges due to its anatomical location, necessitating a tailored treatment plan to achieve optimal outcomes while preserving renal function whenever possible.

UTUC, rare yet aggressive, demands tailored treatment for optimal outcomes.


upper tract urothelial cancer

Upper Tract Urothelial Cancer (UTUC) stands out as a distinct entity from kidney cancer, primarily originating in the urothelial lining of the renal pelvis and ureter. Unlike kidney cancer, which encompasses various types of malignancies affecting the kidney, UTUC specifically involves the upper urinary tract. This cancer, while relatively rare compared to other urological malignancies, presents a unique set of challenges due to its anatomical location. UTUC can manifest as either renal pelvis or ureteral cancer, and it shares histological similarities with bladder cancer. The presentation may include symptoms such as hematuria (blood in urine), flank pain, and hydronephrosis. Diagnostic approaches involve imaging studies like CT urography and ureteroscopy, often followed by biopsy confirmation. UTUC's distinct location requires tailored treatment strategies that consider tumor stage, grade, and the patient's overall health.

The risk factors and etiology of Upper Tract Urothelial Cancer encompass a combination of genetic, environmental, and lifestyle factors. Tobacco smoking, a well-established risk factor for bladder cancer, also significantly increases the risk of developing UTUC. Exposure to certain occupational carcinogens and aristolochic acid, a compound found in some herbal remedies, has been linked to an elevated risk of UTUC. Chronic kidney diseases and inherited genetic conditions, such as Lynch syndrome, can also contribute to the development of UTUC. The interaction between genetic predisposition and environmental exposures remains complex and warrants further exploration. Understanding these risk factors is essential for prevention efforts and for tailoring surveillance strategies in high-risk populations. Early detection and intervention are critical for improving outcomes in individuals affected by Upper Tract Urothelial Cancer.


the symptoms

Upper Tract Urothelial Cancer (UTUC) presents with distinct symptoms that vary in intensity and manifestation. Recognizing these signs is crucial for early detection and intervention. The following bullet points outline common symptoms observed during the presentation of UTUC, emphasizing the importance of vigilance, especially in individuals with known risk factors.

  • Hematuria (blood in urine): One of the most common symptoms, visible as pink, red, or brown discoloration.

  • Flank pain: Discomfort or pain in the side or back, often associated with tumor growth or kidney involvement.

  • Hydronephrosis: Swelling of the kidney due to the obstruction of urine flow caused by the tumor.

  • Unexplained weight loss: Rapid, unintentional weight loss may occur in advanced stages of UTUC.

  • Fatigue: Persistent tiredness or lack of energy, potentially resulting from the cancer's impact on overall health.

  • Fever: In some cases, infection due to urinary tract obstruction can lead to fever.

  • Lower urinary tract symptoms: UTUC can sometimes cause irritative voiding symptoms, such as urgency and frequency.

How is Upper Tract Urothelial Cancer (UTUC)diagnosed?

The diagnosis of Upper Tract Urothelial Cancer (UTUC) involves a combination of imaging studies and invasive procedures to confirm the presence of cancer. Common diagnostic methods include:

  • CT Urography: High-resolution computed tomography (CT) scans visualize the urinary tract, providing detailed images of the kidneys, ureters, and bladder.

  • Ureteroscopy: A thin, flexible tube with a camera (ureteroscope) is inserted through the urethra and bladder to directly visualize the ureters and renal pelvis.

  • Biopsy:

  • Ureteroscopic Biopsy: During ureteroscopy, small tissue samples (biopsies) are collected from suspicious areas in the upper urinary tract. These samples are then examined under a microscope to confirm the presence of cancerous cells.

  • Cystoscopy: As UTUC is associated with an increased risk of bladder cancer, a cystoscopy may be performed to examine the bladder lining for any signs of tumors or abnormalities.

The combination of these diagnostic approaches helps clinicians determine the location, size, and characteristics of the UTUC, aiding in the development of an appropriate treatment plan tailored to the individual patient's needs. Regular surveillance may also be recommended for individuals at higher risk, such as those with a history of tobacco use or certain genetic predispositions.


What happens after referral

After receiving your referral, our practice nurse will triage your case, and you'll be promptly contacted for a brief overview of your condition. Preceding your visit, several diagnostic tests, urine analysis, urine cytology ultrasound, and CT scan are arranged to enhance the evaluation. At your appointment, A/Prof Homi Zargar will engage with you, conduct a thorough assessment, and review the gathered information.

What are the treatment options?

The treatment of Upper Tract Urothelial Cancer (UTUC) is complex and depends on various factors, including the stage of the cancer, its location, and the overall health of the patient. Treatment options for UTUC may include:

  • Radical Nephroureterectomy:

    • Description: The primary and most common treatment for UTUC involves the surgical removal of the affected kidney, ureter, and surrounding tissues.

    • Indication: This approach is often recommended for tumors that involve a significant portion of the upper urinary tract.

  • Nephron-Sparing Surgery:

    • Description: In selected cases where the tumor is small and localized, partial removal of the ureter may be considered to preserve kidney function. The ureter then needs to be connected to the bladder.

    • Indication: Appropriate for patients with a solitary kidney, pre-existing kidney disease, or bilateral UTUC.

  • Endoscopic Treatment:

    • Description: Endoscopic procedures, such as ureteroscopy and laser ablation, may be used for smaller, low-grade tumors, avoiding extensive surgery.

    • Indication: Suitable for patients with tumors limited to the lining of the urinary tract.

  • Adjuvant Therapies:

    • Chemotherapy and Immunotherapy: After surgery, chemotherapy or immunotherapy may be recommended to target any remaining cancer cells and reduce the risk of recurrence.

    • Indication: This is especially considered for high-risk patients or those with advanced disease.

  • Neoadjuvant Therapy:

    • Description: Administering chemotherapy or immunotherapy before surgery to shrink tumors and improve the chances of successful surgery.

    • Indication: Considered in cases where the tumor is large or invasive.

  • Percutaneous Nephrostomy:

    • Description: In some cases, a tube may be inserted through the skin into the kidney (percutaneous nephrostomy) to relieve obstruction and manage symptoms.

    • Indication: Used for palliative care in patients who are not surgical candidates.

  • Clinical Trials:

    • Description: Participation in clinical trials may offer access to innovative treatments and therapies being investigated for UTUC.

    • Indication: Considered for eligible patients seeking alternative or experimental options.

Treatment choice is highly individualized and involves a collaborative decision-making process between the patient and a multidisciplinary healthcare team, including urologists, oncologists, and radiologists. Regular follow-up and surveillance are crucial to monitor for any signs of recurrence or new developments.

 

Surgery for UTUC

Distal ureterectomy

The goal of distal ureterectomy is to excise the portion of the ureter containing a suspected cancerous tumour. Distal ureterectomy involves surgically removing the affected segment of the distal ureter, commonly used for localized UTUC in the lower ureter.

  • Surgical approaches include open surgery with an abdominal incision or minimally invasive methods like laparoscopic or robotic surgery.

  • Lymph node dissection may be performed to assess and manage potential metastasis.

  • Bladder cuff excision is carried out if the tumour is close to the bladder, minimizing the risk of recurrence.

  • Reconstruction involves reconnecting the remaining healthy ureter to the bladder (ureteral re-implantation).

  • Staging and grading are determined through pathological examination of tissue samples obtained during surgery.

  • Adjuvant therapies like chemotherapy or immunotherapy may be recommended post-surgery based on risk profile.

  • Regular follow-up appointments and imaging studies are essential to monitor for recurrence and assess treatment effectiveness.

Radical Nephroureterectomy

Radical nephroureterectomy involves the surgical removal of the affected kidney, ureter, and surrounding tissues, commonly used for advanced or high-risk UTUC.

  • Surgical approaches include open surgery with an abdominal incision or minimally invasive methods like laparoscopic or robotic surgery.

  • Lymph node dissection may be performed to assess and manage potential metastasis.

  • The bladder cuff is excised to minimize the risk of recurrence, and the remaining healthy ureter is reconnected to the bladder or redirected using urinary diversion techniques.

  • Staging and grading are determined through pathological examination of tissue samples obtained during surgery.

  • Adjuvant therapies like chemotherapy or immunotherapy may be recommended post-surgery based on risk profile.

  • Regular follow-up appointments and imaging studies are essential to monitor for recurrence and assess treatment effectiveness.

  • Treatment decisions are made collaboratively with urologists and oncologists, considering individual factors, disease characteristics, and overall health.

Endoscopic Treatment

Endoscopic treatment for UTUC involves minimally invasive procedures such as ureteroscopy and laser ablation, suitable for smaller, low-grade tumors.

  • Ureteroscopy utilizes a thin, flexible tube with a camera to visualize and access the urinary tract, allowing targeted treatment of UTUC.

  • Laser ablation involves using laser energy to precisely remove or destroy cancerous tissue, sparing surrounding healthy structures.

  • These procedures are ideal for tumors limited to the lining of the urinary tract, avoiding the need for extensive surgery.

  • Staging and grading are determined based on the examination of tissue samples obtained during endoscopic procedures.

  • Post-treatment, regular follow-up appointments and imaging studies are essential to monitor for any signs of recurrence.